“I would like to thank all those who contributed in any way to make these cases possible. It is always a team effort to give this type of comprehensive care to patients.”
“These cases were done in conjunction with dental specialists including oral surgeons, orthodontists, endodontist, and periodontists. I would also like to give special thanks to the dental labs and most of all to my dental team for being competent and caring.”
-Dr. Spencer Zaugg, DMD
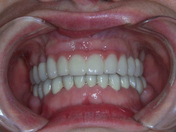
Case Study 1
Problem: This patient was in a traumatic accident several years ago that left her with no teeth on the top and a few teeth missing on the bottom. She also suffered with loss of sensation on her lower lip.
Plan: Our plan… placed eight implants on the upper for the individual crowns and bridges then did conventional crowns and bridges to restore her lower teeth.
She is pleased with her wonderful smile that has given back her confidence.
Case Study 2
Problem: This is a young lady that had been in orthodontic treatment for a few years which straightened up everything very nicely.
Plan: Our plan… she was not able to have an implant to replace the tooth so a bridge was done. She also had her tissue re-contoured to give more ideal tooth length and veneers on the other front teeth.
What a beautiful smile.
Case Study 3
Problem: This gentleman had an accident with a four-wheeler which gave him multiple jaw fractures and broken teeth. As a result of his accident, it left him with no teeth in the upper and lower front.
Plan: Our plan… the fractures were fixed and three implants were placed on the upper arch and two implants on the lower arch bridging the missing teeth. We also fixed a few broken teeth with root canals and crowns.
Don’t let accidents ruin your smile.
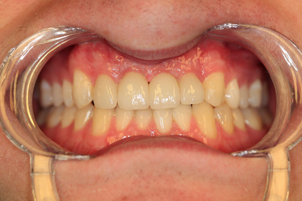
Case Study 4
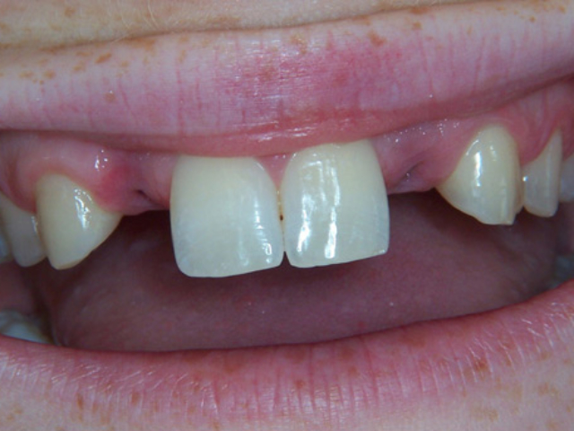
Problem: The patient presents with the desire to straighten and whiten his smile as well as replace two missing molars.
Plan: Our plan… we did veneers on the front upper six teeth with implants to replace missing molars to give ideal function.
This was not only a case where he looks better, but also functions better.
Case Study 5
Problem: This patient presented with severe decay and a difficult occlusion/bite. He had teeth that had already been removed.
Plan: Our plan… remove the rest of the teeth and place an upper denture. Place four implants on the lower using guided surgery. Restore with a fixed/hybrid bridge.
A solution to every problem.
Case Study 6
Problem: This soft-spoken patient never complained about anything, but she could not eat with or tolerate her upper denture. She was a dental cripple.
Plan: Our plan… we placed four regular implants and tow longer zygomatic implants in the back where she had too little bone for regular implants. She was restored using a “Spark Erosion Bar” and with a precision fit prosthesis.
Enjoying life again.
Case Study 7
Problem: This young patient lost her front tooth. She also had a dark tooth that was treated with a root canal.
Plan: Our plan… placed an implant then molded the tissue for a few months to get the best appearance. A zirconium abutment was used to restore the tooth and veneers on the other three front teeth.
Creating beautiful smiles.
Case Study 8
Problem: This young patient was born with no lateral incisors.
Plan: Our plan… placed patient in orthodontics to straighten and gain the needed space then placed implants with crowns.
Treating genetic conditions.
Case Study 9
Problem: This young lady had excessive gum tissue making her teeth appear short.
Plan: Our plan… we sculpted and removed the excessive tissue with the laser.
It’s the small and simple things that make the biggest impact.
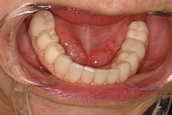
Case Study 10
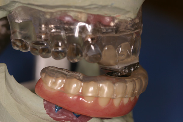
Problem: This patient had a series of problems that resulted with tooth loss. He also has a problem with sleep apnea. He wanted something fixed and stable.
Plan: Our plan… placed four implants on the lower with a fixed/hybrid prosthesis. Placed five on the upper arch with a titanium bar and snap attachments to allow a special one of the kind sleep apnea device.
He really likes his new smile and he gets a great nights rest as well.
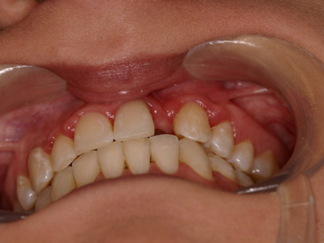
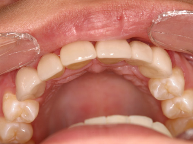
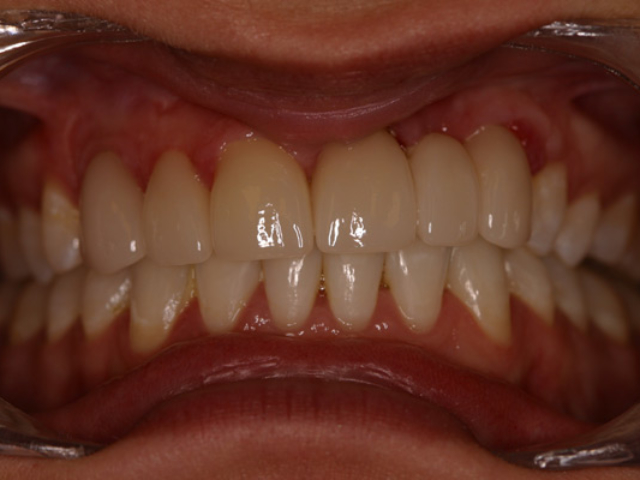
Case Study 11
Problem: This patient comes in with badly broken-down teeth and periodontal disease. Her midline is off center. She wants something that will be anchored in so she can eat well and look fabulous.
Plan: Our plan… we removed the remaining teeth and placed four implants on the lower for a fixed/hybrid prosthesis. The upper required bone grafting and then placed eight implants that will support a connector bar prosthesis.
She is happy. We’re happy. Mission accomplished!
Case Study 12
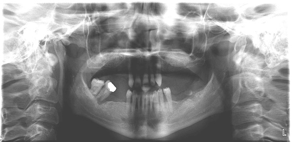
Problem: The patient came in with a broken prosthesis which broke two screws and fractured two implants. He would like it fixed.
Plan: Our plan… we removed the broken screws and kept those implants. Three more implants were placed toward the back. A titanium CAD/CAM bar with snaps for the upper prosthesis. The lower attachments were changed out for snaps as well as a new lower prosthesis.
Updating with new technology.
Case Study 13
Problem: This patient wanted something that was the most realistic and most durable and never comes out. She wanted to eat and laugh without problems.
Plan: Our plan… placed four implants with guided surgery with a special zirconium CAD/CAM framework along with pink porcelain for tissue and individual crowns for the prosthesis.
No one will know the difference.
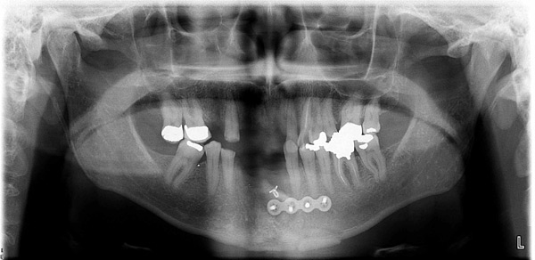
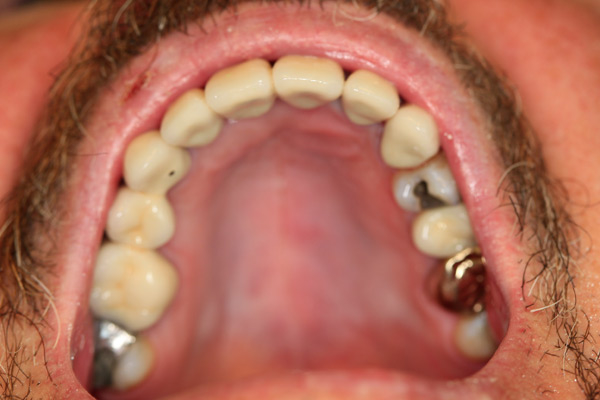
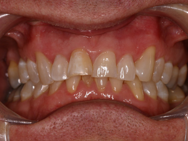
Case Study 14
Problem: This young man was hit by a car while riding his bike. He had multiple fractures in his jaw and three front teeth were fractured.
Plan: Our plan… his fractures were fixed. The trauma left a bony defect which was grafted as well as soft tissue VIP grafts. Placed three separate implants with guided surgery. Molded the tissue and placed Zirconium abutments with porcelain crowns.
A great young man with a confident smile.























































